CASOS MÉDICOS: LA HOMEOPATÍA: No tratamiento de sarcoma retroperitoneal por confianza en homeopatía
volver al nivel anterior
Fecha: no consta Lugar: Coria, Cáceres, España Víctima: Profesora universitaria, 57 años Daños: Múltiples. Fallecida
Recogemos un caso clínico presentado al 28º congreso SEMES (8, 9 y 10 de junio de 2016, Burgos) para especialistas en urgencias médicas.
P-1400. Dolor abdominal y homeopatía.
Autores: J.M. Fernández Núñez, M. Cardenal Falcón, C. De Vera Guillén, A. Roco García, R. Regueira Gonzalez, I. Salguero Bodes.Mujer de 57, sin antecedentes relevantes, profesora de universidad. Acude a urgencias, traída por su hermana que es personal sanitario, por pérdida de 11kg de peso en 4 meses, lumbalgia mecánica que en las últimas semanas le impide incluso el descanso nocturno y molestias esporádicas e inespecíficas en la fosa ilíaca derecha (FID).
En la exploración llamaba la atención la caquexia de la paciente, así como la actitud del flexo del tronco por su dolor lumbar. Se palpaba en el abdomen una masa en FID levemente dolorosa. […]
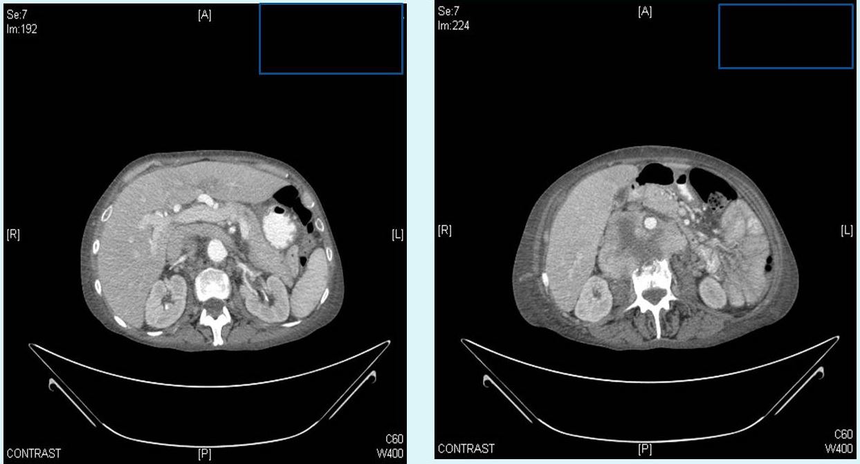
En la radiografía de tórax se apreciaba derrame pleural derecho y en el TAC de abdomen una masa retroperitoneal heterogénea que englobaba, comprimía y desplazaba ventralmente la vena cava inferior y la aorta […], con afectación del cuerpo vertebral de L3.
![]()
Todos estos hallazgos fueron sugerentes en primera instancia de sarcoma peritoneal, confirmados posteriormente tras su ingreso en planta.
Su único tratamiento eran productos homeopáticos.
Recordemos que el sarcoma es un tipo de cáncer. En este caso (en el que afecta a tejidos blandos) la etapa en que se diagnostique supone una gran variación de la supervivencia, de por si ya complicada por la agresividad del mismo.
Además, por su ubicación, el sarcoma retroperitoneal tiene difícil tratamiento: la cirugía tiene efectividad, pero la cercanía de zonas vitales complica la aplicación de radioterapia. El tratamiento tampoco tiene apoyo en la quimioterapia. El pronóstico en fases avanzadas tiende a ser fatal como resultó en este caso donde la paciente falleció.
Lamentablemente para ciertos homeópatas (con sueldo de fabricantes de homeopatía) se trató de “mala praxis”. Reconocer que su pseudociencia lleva a estos extremos no parece estar entre sus opciones (pese a ser la opción más plausible).

— Isidoro J. Martínez Vélez 2016/06/16 10:45
volver al nivel anterior

